心筋症、弁膜症、大動脈解離、動脈瘤、PE_DVT
心筋症、弁膜症、大動脈解離、動脈瘤、PE_DVT
心筋症は、心臓の筋肉である心筋が何らかの原因で変性したり、肥大したり、薄くなったりすることで、心臓の働きが低下する病気です。
心臓には、血液が逆流しないように4つの弁があります。弁膜症は、これらの弁がうまく開閉できなくなる病気です。
大動脈は、心臓から全身に血液を送る、体の中で最も太い血管です。この血管の壁は、内膜・中膜・外膜という3層構造になっていています。

「大動脈解離」とは、内膜に亀裂が入り、そこから血液が流れ込んでしまい、血管の壁が裂けてしまう病気です。

・A型:心臓に近い、「上行大動脈」が裂けるタイプです。心臓に影響し、突然死に至る危険性が高いため、一刻も早い緊急手術が必要です。
・B型:背中側の「下行大動脈」が裂けるタイプです。 入院して血圧を下げる治療を行います。
1、突然、胸や背中に激痛が走る(「今まで経験したことのないような」「引き裂かれるような」と表現されることが多いです)
2、痛みの場所が移動する(胸から始まり、背中、腰、お腹へと痛みが移動することがあります)
3、手足のしびれ、冷感、意識が遠のく
大動脈解離の最大の原因は、「高血圧」です。高い血圧によって血管の壁に常に強い圧力がかかり続けることで、血管が硬くなり、ふとした拍子に裂けてしまいます。
その他のリスク因子。
・動脈硬化
・喫煙
・睡眠時無呼吸症候群
・遺伝的な体質(血管がもともと弱い体質の方)
特に冬場は寒さで血圧が上がりやすいため、発症する方が増える傾向にあります。
【検査】
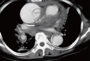
・CT検査(造影CT) : 血管がどこからどこまで裂けているのか、緊急手術が必要かを判断します。CT検査が診断には必須になります。

・エコー検査 : 心臓の周りに血が溜まっていないか(心タンポナーデ)をその場で確認します。危険な状態かどうかを判断します。
【治療】
・心臓に近い場所の解離(A型): 緊急手術が必要です 。命に関わる危険性が非常に高いため、一刻も早く裂けた血管を「人工血管」に取り換える手術を行います。
・背中やお腹側の解離(B型): 血圧管理と安静が必要です 。直ちに命に関わる危険性は低いため、入院して血圧を下げるお薬と安静で治療します。 ※ただし、破裂のリスクや血流不全の症状がある場合は、手術やカテーテル治療を行う場合もあります。
動脈瘤は、動脈の一部がこぶのように膨らんでしまう病気です。破裂すると、大出血を起こし、生命に関わる危険性があります。
これらの心臓疾患の予防には、以下のことが大切です。
これらの疾患は、早期発見・早期治療が大切です。症状を感じたら、早めに医師にご相談ください。
ご不明な点があれば、お気軽にご質問ください。
TOP